Hochauflösender Ultraschall (Sonographie)

Seit seiner Entdeckung für den medizinischen Einsatz ist der Ultraschall aus der Orthopädie und Unfallchirurgie nicht mehr wegzudenken.

Seine Vorteile liegen auf der Hand:

  • einfache Verfügbarkeit
  • keine Strahlenbelastung
  • ein Seitenvergleich problemlos möglich
  • hohe Aussagekraft für viele Veränderungen
  • kurze Untersuchungsdauer im Vergleich zu anderen Untersuchungen wie der Kernspintomographie
  • auch bei Klaustrophobie gut möglich (man muss in keine Röhre)
  • Kinder müssen nur kurz ruhig halten
  • auch bei Metallimplantaten möglich (z.B. Herzschrittmacher)

Anwendungsweise

Über ein Kontaktgel wird der Schallkopf direkt auf die zu untersuchende Körperregion gehalten. Unter Einsatz von Standardschnittebenen können dann die meisten Gelenke, Muskeln, Sehnen, Bänder und Blutgefäße untersucht werden. Besonders gut lassen sich die Sehen der Schulter untersuchen.

Bei Schwellungen kann man mit Ultraschall gut sehen, ob dort ein Flüssigkeitsverhalt (Erguß, Ganglion) vorliegt und man kann die beste Stelle zur Punktion herausfinden.

Hier ein paar Beispiele:

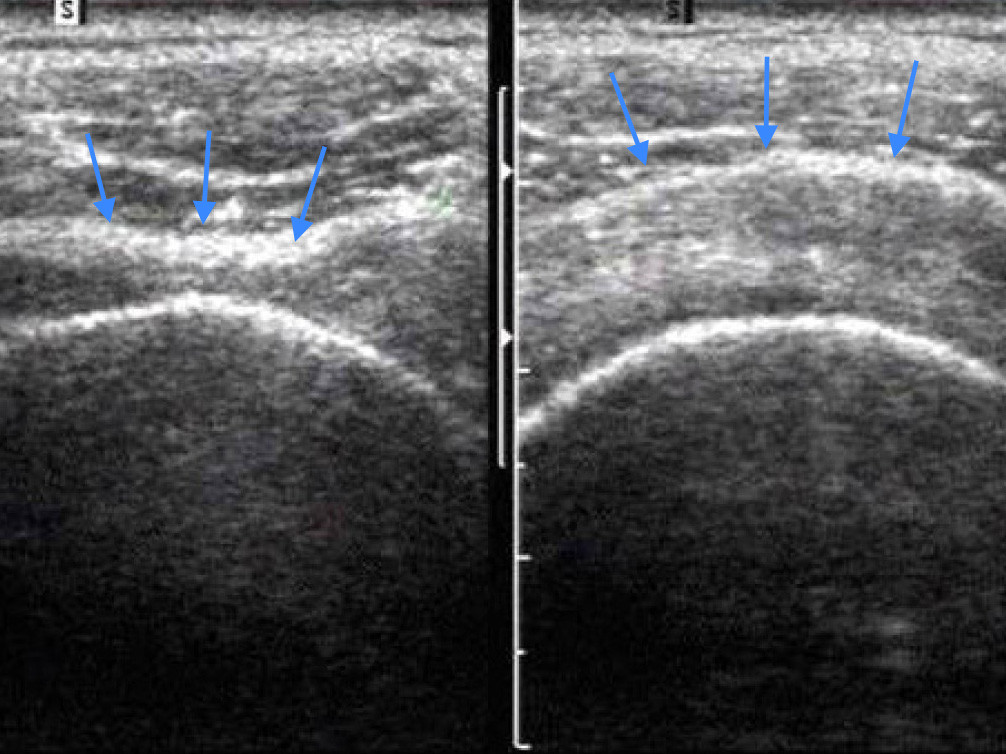
Dieses Bild zeigt Ultraschallbilder von beiden Schultern: Das linke Bild zeigt ein Rotatorenmanschettendefekt (Loch) mit einem Durchhängen der Rotatorenmanschette (Pfeile). Das rechte Bild eine runde gesunde Rotatorenmanschette

Diese Bild zeigt ein Gelenksganglion am Ellenbogen (Pfeil). Es sieht aus wie ein Ball und der Ultraschall geht komplett durch das Ganglion durch.

Diese Bild zeigt ein Kalkdepot über der Bizepssehne (Pfeil), typisch ist, daß die Schallwellen komplett durch den Kalk reflektiert werden und man unter dem Kalk nichts mehr erkennen kann.