Kinderorthopädie

Die Kinderorthopädie beschäftigt sich mit der Vorsorge, Erkennung und Behandlung von angeborenen und erworbenen Erkrankungen und Deformitäten des Stütz- und Bewegungsapparates bei Kindern und Jugendlichen.

Typische kinderorthopädische Erkrankungen

an der Hüfte

  • Hüftdysplasie/Hüftluxation (unzureichende Überdachung des Hüftkopfes durch die Pfanne)
  • Hüftkopfnekrose (Morbus Perthes)
  • Ablösung und Abgleiten des Hüftkopfes (Epiphyseolysis capitis femoris)
Sonographie der Säuglingshüfte
Sonographie der Säuglingshüfte wird durchgeführt

an Bein und Fuß

  • X- und O-Beinstellung (Genu valgum und Genu varum)
  • Innenrotationsgang (Coxa antetorta)
  • Beinlängendifferenzen
  • Morbus Osgood-Schlatter
  • Kniescheibensyndrome
  • Fußdeformitäten
    • Klumpfuß
    • Sichelfuß (siehe Bild)
    • Knick-Senkfuß/Plattfuß
    • Juveniler Hallux valgus
Sichelfuß
Sichelfuß

an der Wirbelsäule

  • Wirbelsäulenverkrümmung
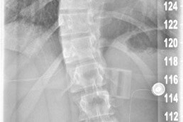
    • Skoliose (Bild)
    • Kyphose (Morbus Scheuermann)
    • Torticollis (muskulärer Schiefhals)
      • Wirbelgleiten (Spondylolisthesis)
Skoliose
Skoliose

Auch neuroorthopädische Erkrankungen wie

  • Infantile Zerebralparese (Spastik)
  • Meningomyelocele (Spina bifida)
  • Muskeldystrophien

werden von uns an den Förderzentren in Würzburg (Zentrum für Körperbehinderte Würzburg/Heuchelhof) und Aschaffenburg (Förderzentrum mit Förderschwerpunkt körperlicher und motorischer Entwicklung altes Schweinheimer Schulhaus Aschaffenburg) mitbehandelt.

Unsere Spezialistin für den Bereich Kinderorthopädie

Dr. med. Edith Raab
Dr. med. Edith Raab
Dr. med. Dominik Bürklein
Dr. med. Dominik Bürklein