Kalkschulter oder Tendinosis calcarea

Bei einer sogenannten "Kalkschulter“ bilden sich Kalkablagerungen (Kalkdepots) in den Sehnenansätzen der Schulter. Diese Kalkdepots werden im Ultraschall oder beim Röntgen sichtbar. Insgesamt sind etwa 2,5 Prozent der Deutschen davon betroffen – bei vielen Menschen treten jedoch keine gesundheitlichen Probleme auf. In den meisten Fällen heilt die Kalkschulter auch spontan wieder aus.

Beschwerden werden vor allem durch Tätigkeiten ausgelöst, die – wie zum Beispiel Malerarbeiten an der Decke – über dem Kopf ausgeführt werden: In dieser Position kann sich das Kalkdepot zwischen Schulterdach und Oberarmkopf einklemmen und eine entzündlich-schmerzhafte Reaktion verursachen. Oft kommen die Schmerzen aber auch aus heiterem Himmel ohne eine erkennbare Ursache.

Betroffene klagen hauptsächlich über Ruhe- und Nachtschmerzen. Manchmal können spontan stärkste, kaum tolerierbare Schmerzen auftreten, die einen sogar in die Notaufnahme des Krankenhauses treiben können. Manchmal lösen sich Phasen heftigster Schmerzen mit beschwerdefreien Wochen und Monaten ab. In der akuten Phase darf keine Stoßwellenbehandlung erfolgen, das wäre viel zu schmerzhaft. Nur in chronischen Fällen, die nicht auf eine andere Behandlung ansprechen, kann man an eine Stoßwellentherapie denken. 

Kalkschulter Tendinosis Calcarea
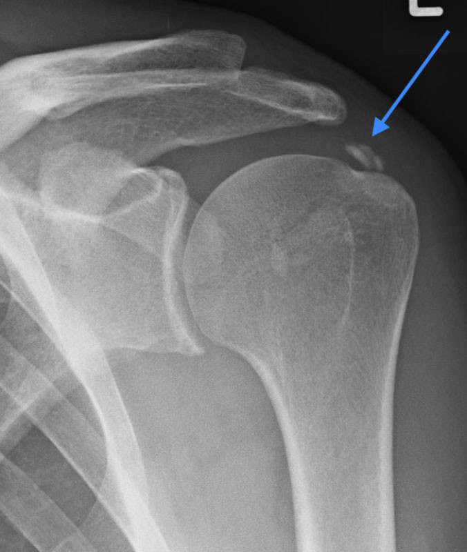
Das Röntgen-Bild zeigt ein Kalkdepot in der Rotatorenmanschette der Schulter (Pfeil)

Bei der Kalkschulter hat nur die ESWT in wissenschaftlichen Untersuchungen eine gute Wirksamkeit gezeigt. Die radiale Stoßwelle ist energetisch zu schwach und hat in Studien hierzu keine ausreichende Wirksamkeit demonstriert. Aus diesem Grund wird in unserer Praxis nur die ESWT bei der Kalkschulter eingesetzt.