Bänder
Das Kniegelenk wird durch 4 Hauptbänder stabilisiert. Das vordere und hintere Kreuzband sowie des Innen- und Außenband. Diese Bänder geben dem Kniegelenk in allen Gelenkstellungen seine Stabilität ohne seine Beweglichkeit einzuschränken. Verletzungen dieser Bänder führen zu einer Instabilität des Kniegelenkes. Das Gelenk fühlt sich unsicher an und knickt unter Belastung weg. Besonders in Sportarten wie Fußball, Handball, Basketball, Squash oder Tennis kann des Knie den erforderlichen Belastungen nicht mehr standhalten.
Mittel und Langfristig erhöht eine solche Instabilität das Risiko von Meniskus und Knorpelschäden und führt so zu einem frühzeitigen Verschleiß des Kniegelenkes.
Zur Vermeidung dieser Langzeitschäden steht eine große Anzahl unterschiedlicher Operationsverfahren zur Verfügung. Für jeden Patienten die optimale Behandlungsmethode zu finden erfordert neben der Beherrschung all dieser differenzierten Verfahren ein exaktes Verständnis des vorliegenden Verletzungsbildes sowie an aller erster Stelle ein Verständnis für die Anforderungen die jeder einzelne Patient in Alltag, Beruf und Hobby an sein Kniegelenk stellt.
Kreuzband
Kreuzbanderhalt bei Teilrupturen durch Healing Response Technik
In Fällen in denen das vordere Kreuzband nur zum Teil direkt am Knochen abgerissen ist können durch eine Anmeiselung des freiliegenden Knochens Stammzellen freigesetzt und eine stabile Vernarbung erreicht werden. Diese Technik wird als „Healing Response“ bezeichnet.
Kreuzbanderhalt durch dynamische intraligamentäre Stabilisierung (DIS) mittels Ligamys® System.
Ist das Kreuzband vollständig abgerissen ist eine Heilung ohne Operation nicht möglich. Um das Kreuzband dennoch zu erhalten kommt die Ligamys® Technik oder „Dynamische Intraligamentäre Stabilisierung“ zum Einsatz. Hierbei wird das abgerissene Kreuzband über eine wenig Millimeter messende Bohrung mit Nähten wieder am Oberschenkelknochen fixiert. Um die Naht in der Zeit der Heilung zu schützen wird eine stabile Kordel als innere Schienung parallel zum Kreuzband gespannt. Diese Kordel wird im Unterschenkelknochen im eigentlichen Ligamys® Implantat verankert. Hier sorgt eine Feder dafür, dass die Kordel über das gesamte Bewegungsausmaß die selbe Spannung behält. Der gesamte Eingriff wird im Rahmen einer Kniegelenksspiegelung also ohne weite Eröffnung des Kniegelenks durchgeführt.
Nach der Operation wird das Kniegelenk für 5 Tage entlastet und in einer Schiene ruhiggestellt. Anschließend kann das Bein voll belastet und frei beübt werden. Eine Schiene ist nicht erforderlich.
Rekonstruktion des vorderen Kreuzbandes/ Stumpferhaltende Kreuzbandplastik
Kann nach einem Riss des Kreuzbands nicht erhalten werden wird eine sogenannte Kreuzbandplastik durchgeführt. Hierbei wird das Kreuzband durch eine körpereigene Sehne ersetzt. Verwendet wird in der Regel eine Sehne aus dem Oberschenkel. Der Ersatz des Kreuzbandes mittels künstlicher Bänder aus Kohlefaser oder Gore-Text hat sich nicht bewährt. Auch die Verwendung von Spendersehnen führt zu deutlich schlechteren Ergebnissen und ist mit einer erhöhten Wahrscheinlichkeit einer erneuten Instabilität verbunden. Diese Technik kommt daher nur in Ausnahmefällen zum Einsatz. Auch wenn das vordere Kreuzband ersetzt wird so wird der verbliebene Kreuzbandstumpf erhalten, um eine möglichst gute Einheilung zu ermöglichen. Das Eindringen von Gelenkflüssigkeit in die zur Verankerung verwendeten Knochenkanäle wird hierdurch verhindert. Gleichzeitig können Nervenzellen die zur Steuerung des Kniegelenkes beitragen leichter in das Transplantat einwandern.
Zur Durchführung dieses Eingriffes ist lediglich eine Kniegelenksspiegelung und keine langstreckige Eröffnung des Kniegelenkes erforderlich.
Die entnommene Sehne wird mehrfach gefaltet und mit sich selbst vernäht. Zur Fixierung werden Knochenkanäle in den Unterschenkel und Oberschenkelknochen gebohrt. Hierbei ist die Kenntnis der genauen Ansatzpunkte des vorderen Kreuzbandes von entscheidender Bedeutung für ein optimales Operationsergebnis. Die Sehne wird im Rahmen der Kniegelenksspiegelung in die Knochentunnel eingezogen und mittels Titanankern bzw. sich selbst auflösenden Schrauben fixiert.

Nach der Operation sollte das Kniegelenk für 2 Wochen lediglich mit 20 kg belastet werden. Anschließend kann in eine Vollbelastung übergegangen werden. Für 6 Wochen wird das Knie durch eine Bewegliche Schiene (Orthese) ohne Einschränkung der Beweglichkeit geschützt. Mit Schwimmen und Radfahren kann nach 10 Wochen begonnen werden. Nach 12 Wochen ist Joggen möglich. Risikosportarten wie Fußball, Handball oder Tennis können frühesten nach 9-12 Monaten wieder begonnen werden.
Vor Wiederaufnahme solcher Sportarten empfiehlt sich die Durchführung eines „Return to Sport“ Tests. Hierbei wird durch Sprung-, Koordination und Krafttests durch einen Physiotherapeuten überprüft wie der Trainingszustand des verletzten Beines ist und ob die sportliche Aktivität sicher wiederaufgenommen werden kann.
Revisionsrekonstruktionen des vorderen und hinteren Kreuzbandes einschließlich Rekonstruktion der posterolateralen Gelenkecke
Durch eine erneute Verletzung oder eine ausbleibende Heilung kann nach einer bereits erfolgten Rekonstruktion der Kreuzbänder eine erneute Rekonstruktion (Revision) erforderlich werden. Hierbei ist es entscheidend die Ursache für das Versagen der ersten Operation zu klären und diese wenn möglich zu beheben. Je nachdem welche Sehne für die erste Operation verwendet wurde kann für die erneute Rekonstruktion eine Sehne vom unverletzten Bein oder ein Teil der Sehne des Kniestreckers (M. quadrizeps) verwendet werden.
In vielen Fällen können die bereits vorhanden Knochentunnel für die erneute Kreuzbandplastik verwendet werden. In einigen Fällen müssen die alten Bohrkanäle jedoch zunächst aufgefüllt werden um die Anlage neuer, korrekter Bohrkanäle zu ermöglichen. Diese Technik wird im folgenden beschrieben.
Rekonstruktion des hinteren Kreuzbandes
Im Vergleich zum vorderen Kreuzband ist das hintere Kreuzband deutlich seltener von Verletzungen betroffen. Verursacht wird diese Verletzung in der Regel durch einen Sturz auf das gebeugte Kniegelenk oder einen Schlag von vorne gegen das Kniegelenk. Häufig kommt es im Rahmen einer Mehrfachverletzung zur Mitbeteiligung des Kniegelenkes. Die Symptome eines Risses des hinteren Kreuzbandes sind in der Regel nicht so eindrucksvoll wie bei einem Riss des vorderen Kreuzbandes. Anstelle einer wahrnehmbaren Instabilität bemerkt der Patient ein Druckgefühl in der Kniekehle sowie Schmerzen hinter der Kniescheibe.
Diese Kombination aus Seltenheit der Verletzungen, unspezifischen Symptomen und gleichzeitig vorliegenden schwereren Verletzungen führt häufig dazu, dass diese Verletzungen übersehen wird. Auch eine MRT Untersuchung ist meist nicht zielführend. Das Stellen der richtigen Untersuchung erfordert daher eine sorgfältige Untersuchung durch einen mit dieser Verletzung vertrauten Arzt. Spezielle Röntgenaufnahmen können die Diagnose erhärten.
Wird diese Verletzung frühzeitig erkannt kann eine nichtoperative (konservative) Therapie mit großem Erfolg durchgeführt werden. Hierfür muss eine spezielle Schiene (PTS Schiene) für 6 Wochen Tag und Nacht konsequent getragen werden. Für weitere 6 Wochen wird die Schiene nur nachts getragen. Tagsüber kann auf eine bewegliche Schiene gewechselt werden.
In Fällen in denen diese Therapie nicht erfolgreich ist oder bei denen eine Verletzung schon länger als 2 Wochen vor Diagnose besteht, muss über eine operative Rekonstruktion des hinteren Kreuzbandes nachgedacht werden. Die Operation erfolgt analog der Technik zur Rekonstruktion des vorderen Kreuzbandes im Rahmen einer Kniegelenksspiegelung. Die Nachbehandlung entspricht der konservativen Therapie des hinteren Kreuzband wie sie bereits beschrieben wurde. Eine Entlastung des Beines ist für 6 Wochen erforderlich.
Auffüllung geweiteter Bohrkanäle mittels Spender- oder Eigenknochen
Kommt es nach einer Kreuzbandplastik zu einer erneuten Instabilität des Kniegelenkes ist häufig eine nicht ganz optimale Position der ursprünglichen Bohrkanäle oder eine Weitung der Kanäle im Laufe der Zeit die Ursache. In diesen Fällen müssen die Bohrkanäle zunächst aufgefüllt werden um die sichere Anlage, neuer Bohrkanäle zu ermöglichen. Hierfür wird zunächst das alte Transplantat im Rahmen einer Kniegelenksspiegelung aus den Bohrkanälen entfernt und die Kanäle ausgebohrt. Zur Auffüllung der Kanäle wird in der Regel Spenderknochen verwendet. Im Gegensatz zu künstlichem Material führt dieser innerhalb von 3 Monaten zu einer optimalen Durchbauung. Die Gefahr einer Abstoßung oder einer Infektion kann durch die Behandlung des Knochens vor der Implantation annähernd ausgeschlossen werden.
Die Einheilung des Knochens wird 3 Monate nach der Implantation mittels eines CTs überprüft. Anschließend kann in einem zweiten Eingriff eine erneute Kreuzbandrekonstruktion durchgeführt werden.
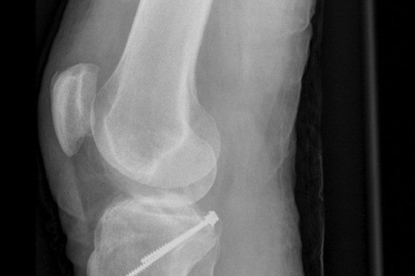
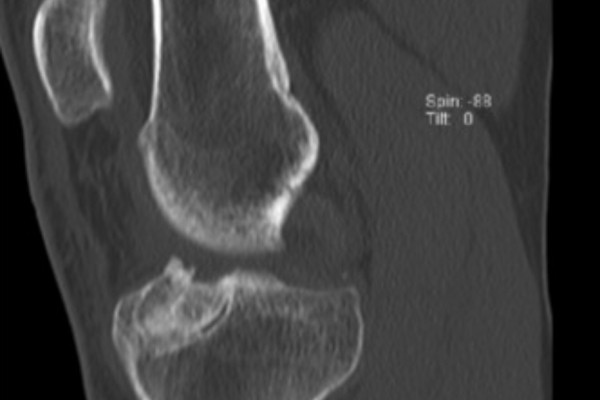
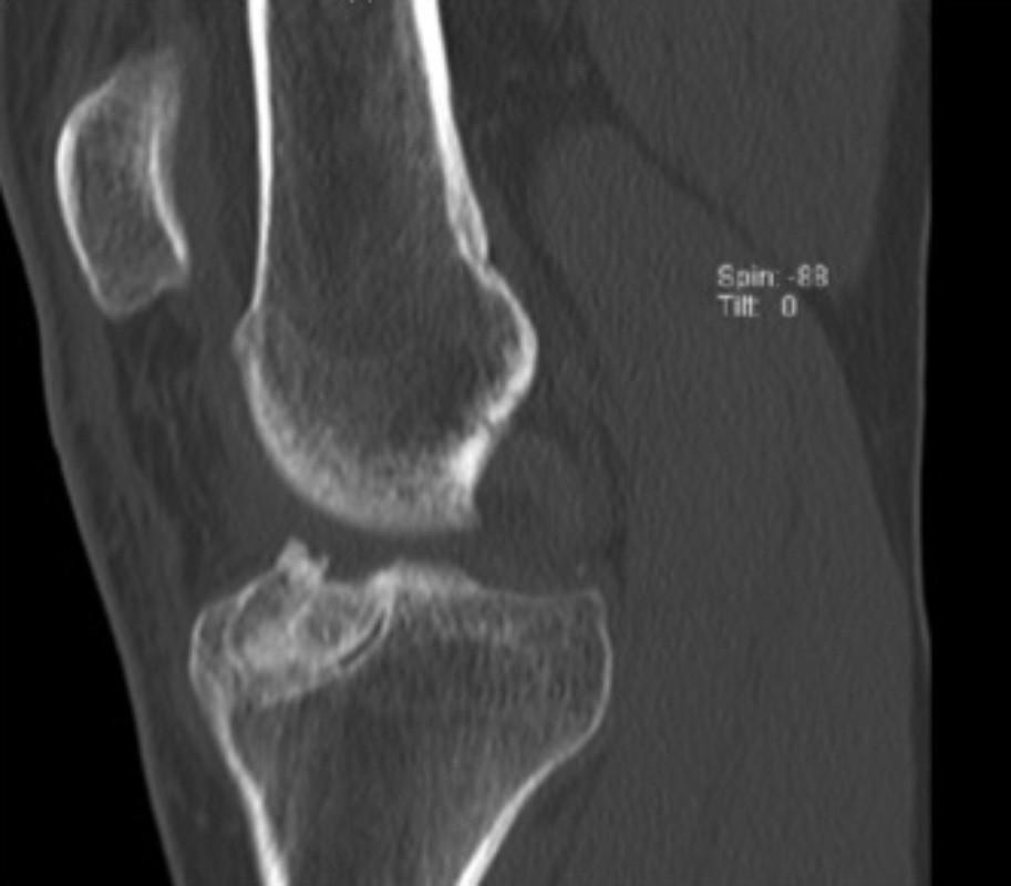
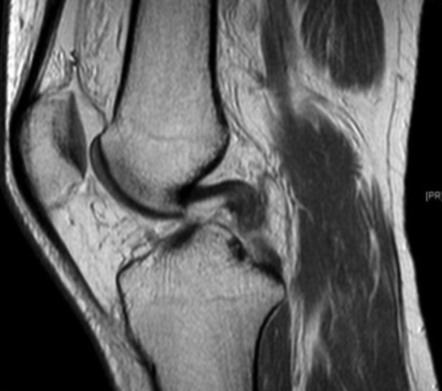
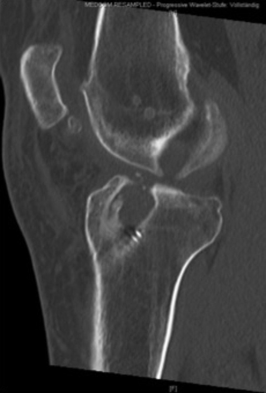
Versorgung knöcherner Ausrisse des vorderen und hinteren Kreuzbandes
In seltenen Fällen kommt es zu knöchernen Ausrissen des vorderen Kreuzbandes. Diese Form der Verletzung ist bei Kindern häufiger als bei Erwachsenen. Hierbei bleibt das Kreuzband intakt während es mit einem knöchernen Bruchstück aus dem Schienbeinkopf ausreißt. In diesen Fällen kann das ausgerissene Knochenstück und somit auch das Kreuzband mittels einer Schraube oder durch stabile Nähte die durch Bohrkanäle ausgeleitet werden refixiert werden. Somit ist eine vollständige Ausheilung dieser schweren Verletzung möglich.
Versorgung kindlicher Kreuzbandverletzungen
Auch bei Kindern kann es zu Verletzungen der Kreuzbänder zu kommen. Die langfristigen Folgen für das Kniegelenk dieser jungen Patienten ist verheerend. Aus diesem Grund ist eine frühzeitige Diagnose und konsequente Therapie um so dringlicher. Eine nicht operative Therapie kommt für diese Patienten in aller Regel nicht in Frage. Da das kindliche Kniegelenk noch im Wachstum begriffen ist und dieses so wenig wie möglich gestört werden darf, muss die Lage der Wachstumszone (Wachstumsfugen) bei der Operation beachtet und die Operationstechnik entsprechend angepasst werden. Nach dem Engriff sollte eine langfristige engmaschige Kontrolle erfolgen um mögliche Wachstumsstörungen rechtzeitig erkennen und reagieren zu können. Im Gegensatz zu Erwachsenen kommt es bei Kindern gehäuft zu knöchernen Ausrissen des vorderen Kreuzbandes. Diese erfordern ein spezielle Versorgungstechnik die im Folgenden erläutert wird.
Rekonstruktion des anterolateralen Ligamentes (ALL)
Das sogenannte anterolaterale Ligament (ALL) ist wieder in aller Munde seit die Nachricht : „ Belgische Forscher entdecken neues Band am Kniegelenk“ in der Laien- und Fachpresse um die gesamte Welt ging. Das ALL stellt eine Struktur an der Außenseite des Kniegelenkes dar, die häufig gemeinsam mit dem vorderen Kreuzband verletzt wird. Vermutlich führt eine nicht ausreichende Heilung dieses Bandes trotz Rekonstruktion des vorderen Kreuzbandes zu einer bleibenden Instabilität des Kniegelenkes insbesondere unter Drehbelastungen. Der Ersatz des anterolateralen Ligamentes spielt daher vor allem dann eine Rolle, wenn nach Rekonstruktion des vorderen Kreuzbandes dennoch ein Instabilitätsgefühl verbleibt. Allerdings kann bei ausgeprägter Instabilität im Rahmen einer akuten Verletzung des vorderen Kreuzbandes auch eine Kombination aus VKB Plastik und ALL Rekonstruktion sinnvoll sein. Auch die Rekonstruktion des anterolateralen Ligamentes erfolgt hierbei mittels einer körpereigenen Sehne die in einem Knochentunnel fixiert wird.