Kniegelenkersatz (TEP)

Das Knie ist das komplizierteste Gelenk des menschlichen Körpers.

Mechanisch gesehen ist das Kniegelenk das am kompliziertesten aufgebaute Gelenk des Menschen. Aufgrund seiner hohen Beanspruchung entwickelt es deshalb mit zunehmenden Alter häufig einen Verschleiß (Arthrose).

Im Laufe unseres Leben Beugen und Strecken wir unser Kniegelenk mehr als 10 Millionen mal. 10 Muskeln und 15 Sehnen sind an der Funktion des Kniegelenkes beteiligt.

Arthrose und künstlicher Gelenkersatz

Zeigt sich am Kniegelenk ein hochgradiger Verschleiß des Knorpels so wird, nachdem alle konservativen Möglichkeiten zur Therapie ausgeschöpft sind, bei entsprechenden Beschwerden die Implantation eines Kunstgelenkes empfohlen.

Nachdem ein OP-Termin mit Ihnen vereinbart wurde, wird anhand von speziell in unserer Praxis angefertigten Röntgenbildern mit Maßstab individuell das Implantat mit Hilfe eines speziellen Prothesenplanungsprogrammes geplant.

Hierzu stehen verschiedene Materialien zur Verfügung, die im Falle einer Allergie Anwendung finden oder auch zur Verbesserung der Haltbarkeit dienen. Nähere Informationen hierzu erfahren Sie in der Spezialsprechstunde von Dr. med. Michael Matzer.

Bei uns wird ein stadiengerechter Kniegelenkersatz angeboten, somit wird nur der Anteil des Kniegelenkes ersetzt der verschlissen ist:

Innerer Teilgelenkersatz („Schlittenprothese“)

Wenn nur der Innere Anteil des Kniegelenkes von dem Verschleiß (Arthrose) betroffen ist, kann dies sehr gut durch eine sog. Schlittenprothese ersetzt werden. Diese kann über einen kleineren Schnitt, teils minimalinvasiv, implantiert werden ohne dass Muskulatur geschädigt wird. Hierbei bleiben alle Bänder des Kniegelenkes und der äußere Anteil der Gelenkfläche unversehrt.

Teilgelenkersatz des Kniescheibengleitlagers („Femoropatellarersatz“)

Bei vielen Patienten ist nur der Anteil hinter der Kniescheibe von einem fortgeschrittenen Verschleiß betroffen. Hier gibt es die Möglichkeit einen Ersatz dieser Gelenkflächen hinter der Kniescheibe und korrespondierend dazu das Gleitlager für die Kniescheibe am Oberschenkel zu ersetzen. Hierbei bleiben sämtliche Bänder, Menisken sowie der innere und äußere Gelenkanteil intakt.

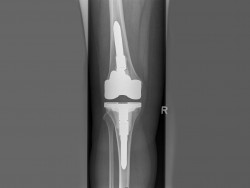
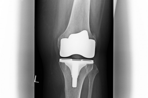
Oberflächenersatz („Knie-TEP“)

Bei einem Verschleiß der gesamten Knorpelfläche bei noch intakten Seitenbändern empfehlen wir einen Oberflächenersatz.

Hierbei werden nur wenigen Millimeter vom Knorpel entfernt um das Implantat passgenau aufzubringen.

Um eine noch höhere Präzision und die bestmögliche individuelle Anpassung des Implantates zu gewähren, bieten wir die Möglichkeit einer individuellen Schnittblockplanung vor der Operation an (Nähere Auskünfte erhalten Sie in der Spezialsprechstunde von Dr. med. Michael Matzer).

Bei einer starken Fehlstellung und stark gelockerten Seitenbändern des Kniegelenkes muss die Stabilität durch ein Implantat mit Schaftverankerung übernommen werden.

Erneute Operation bei vorhandenem Knieimplantat

In seltenen Fällen bestehen trotz vorhandenem Knieimplantat teilweise noch Beschwerden, dies kann verschiedene Ursachen haben:

  • Vernarbungen und Verklebungen
  • Schmerzsyndrom hinter der Kniescheibe
  • Instabilitätsproblem
  • Lockerung oder Verschleiß des Implantates
  • Entzündung

Bevor eine erneute Operation stattfindet, müssen im Vorfeld einige Untersuchungen, wie z.B. Funktionsuntersuchung, Punktion, Röntgen, ggf. Computertomographie, ggf. Skelettszintigraphie durchgeführt werden. Nach Auswertung aller Untersuchungsergebnisse wird mit Ihnen in der Spezialsprechstunde  bei Dr. med. Michael Matzer das weitere Vorgehen besprochen und festgelegt.

Arthroskopie bei vorhandenem Knieimplantat

Hierbei können durch ein minimalinvasives Operationsverfahren sehr gut Verklebungen und Vernarbungen sowie Weichteileinklemmungen behoben werden. Doch ist hierbei auch ein striktes Nachbehandlungsschema für den Behandlungserfolg sehr wichtig, dass individuell für Sie von Operateur festgelegt wird.

Ersatz der Kniescheibenrückfläche

In manchen Fällen entwickelt sich nach Ersatz des Kniegelenkes ein Schmerzsyndrom hinter der Kniescheibe z.B. durch einen fortschreitenden Verschleiß in diesem Bereich. Hier wird dann der isolierte Ersatz der Kniescheibenrückfläche empfohlen.

Wechsel des Inlays (Kunststoffeinlage)

Sollte sich im Laufe der Zeit das Inlay abnutzen und eine gewisse Instabilität entstehen, wird der Wechsel des Inlays empfohlen. Vorrausetzung hierfür ist das die übrigen Anteile des Implantates intakt und nicht gelockert sind.

Wechsel oder Teilwechsel einer Knie-TEP

Ein Knieimplantat kann sich nach vielen Jahren lockern, die mittlere Haltbarkeit eines Knieimplantates liegt bei ca. 15 Jahren. Aber auch durch Unfälle oder Stürze kann ein Implantat auslockern. Bei gesicherter Diagnose ist immer eine Wechseloperation zu empfehlen.

Da es bei diesen Operationen auch zu teilweisem Knochenverlust und resultierender Instabilität kommen kann, sind Revisionsimplantate erforderlich mit denen ein erneuter Aufbau des Gelenkes  erreicht wird.

Wechsel eines Revisionsimplantates

Bei mehrfachen Voroperationen mit mehrfachen Wechseloperationen kann die Implantation einer Spezialprothese (Tumorprothese) erforderlich werden.

Unser Spezialist für den Bereich Knie-TEP

Dr. med. Michael Matzer
Dr. Matzer