Patella
Patellastabilisierung
Das „Herausspringen“ der Kniescheibe, die sogenannte Patellaluxation ist eine Verletzung die vor allem jungen Patienten betrifft. Die Ursache für das auftreten einer solchen Instabilität sind vielfältig und beinhalten sowohl von außen einwirkenden Kräfte als auch anatomische Gegebenheiten die zu einer schlechteren Führung der Kniescheibe führen.
Generell gilt die Regel das die erste Luxation der Kniescheibe ohne Operation also „konservativ“ therapiert werden kann sofern keine operationspflichtigen Begleitverletzungen wie z.B. herausgebrochen Knorpelstücke vorliegen. Kommt es trotz einer ausreichenden Therapie zu einem erneuten Herausspringen der Kniescheibe ist eine Operation in aller Regel zu empfehlen, da in diesen Fällen die anatomischen Faktoren offensichtlich so ausgeprägt sind, dass es mit an Sicherheit grenzender Wahrscheinlichkeit zu weiteren Luxationen kommen wird.
Langfristig führen diese wiederkehrenden Verletzungen zu bleibenden Schäden am Knorpel der Kniescheibe und leisten somit einem frühzeitigen Verschleiß Vorschub.
Aus diesem Grunde wurden unterschiedliche Operationsverfahren entwickelt um die jeweiligen Risikofaktoren für eine erneute Luxation zu adressieren. Die richtige Einschätzung dieser Faktoren ist dabei entscheidend für die Wahl des richtigen Operationsverfahrens. Häufig ist auch eine Kombination unterschiedlicher Techniken erforderlich um ein optimales Ergebnis zu erreichen.
MPFL Rekonstruktion
Das „ Mediale Patellofemorale Ligament“ kurz MPFL zieht innenseitig am Kniegelenk von der Kniescheibe zum Oberschenkelknochen. Es spannt sich in circa 30° Beugung an und hat die Aufgabe ein Herausspringen der Kniescheibe zu verhindern. Bei einer Luxation der Kniescheibe kommt es immer zu einer Zerreißung dieses Bandes. Heilt es im Verlauf nicht stabil aus bleibt die Kniescheibe instabil und neigt zu einem erneuten Herausspringen. In der Situation einer frischen Verletzung ist eine offene oder arthroskopische Naht möglich. Liegt die Verletzung länger zurück oder ist es bereits zu mehreren Luxationen der Kniescheibe gekommen ist eine Naht nicht mehr erfolgversprechend. In dieser Situation wird das MPFL durch eine körpereigene Sehne ersetzt. Hierfür wurden unterschiedlichste Techniken beschrieben. Unsere Verfahren der ersten Wahl verwendet einen Streifen der Oberschenkelstreckersehne (M. Quadrizeps).
Diese Sehne ist circa 1 cm dick und 4-5 cm breit. Und besteht aus mehreren Schichten. Für die Bandrekonstruktion wird lediglich ein 1 cm breiter Streifen der obersten circa 3 mm starken Schicht verwendet. So wird ein flaches Transplantat gewonnen das unter der Haut nicht zu tasten ist. Die Entnahme der Sehne erfolgt mittels speziellem Instrumentarium über einen lediglich circa 3 cm langen querverlaufenden Schnitt oberhalb der Kniescheibe Der Ansatz der Sehne wird an der Kniescheibe belassen so dass hier im Gegensatz zu den meisten anderen Technik die Verwendung von Ankern oder Bohrungen nicht erforderlich ist.

Die Sehne wir unter der Haut hindurchgetunnelt und in einem Knochentunnel im Oberschenkelknochen am anatomischen Ursprung des MPFLs verankert.
Nach der Operation kann das Kniegelenk sofort frei bewegt werden. Ab der 3. Woche postoperativ, kann das Bein wieder voll belastet werden. Eine bewegliche Schiene wird für 6 Wochen getragen.
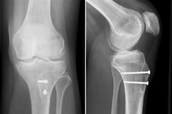
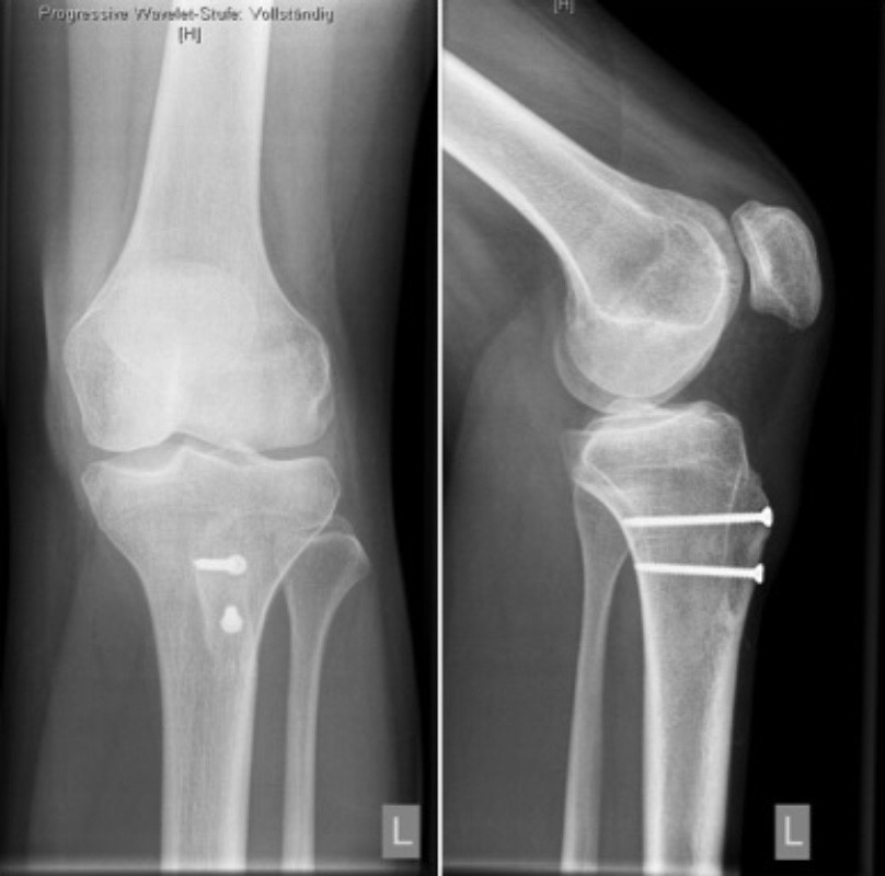
Tuberositas tibiae Versetzung
Die Kniescheibensehne oder „Patellarsehne“ Spannt sich zwischen Kniescheibe und Scheinbeinknochen auf. Sie überträgt die Kraft des Oberschenkelstreckers (M. Quadrizeps) auf den Unterschenkel und setzt dort an einem Knochenvorsprung. Der sogenannten „Tuberositas tibiae“ an. Die Position dieses Ansatzpunktes variiert von Mensch zu Mensch. Weicht der Ansatz zu weit nach Außen von der Norm ab, so wie dies z.B. bei einer X- Beinstellung der Fall sein kann, führt dies dazu, dass die Kniescheibe durch den Zug der Sehne buchstäblich aus dem Gleitlager gezogen wird. Die Position dieses Ansatzes kann im MRT oder CT des Kniegelenkes vermessen werden. Wird hierbei eine Fehlstellung festgestellt ist es sinnvoll sie zu korrigieren.
Hierfür wird der Sehnenansatz mit einem anhaftenden Knochstück vom Unterschenkelknochen gelöst und nach innenseitig verschoben bis die ausgemessene Fehlstellung korrigiert ist. Gleichzeitig kann bei diesem Eingriff auch die Höhe der Kniescheibe im Verhältnis zum Gelenkspalt korrigiert werden, indem der Sehnenansatz weiter in Richtung Fuß verschoben wird. Schließlich wird das abgelöste Knochenstück mittels 2- 3 Schrauben in der neuen Position fixiert. Hierdurch kommt es zu einer sicheren Ausheilung. Dieser Eingriff wird in der Regel mit dem Ersatz des MPFLs kombiniert.

Nach dem Eingriff sollte das Bein 6 Wochen lediglich mit 20 kg belastet werden. Eine Beugung des Kniegelenkes ist in der Regel in den ersten 3 Wochen bis 60°, und für weitere 3 Wochen bis 90° möglich.
Seitenbandrekonstruktionen (Akut und Chronisch)
Verletzungen der Seitenbänder sind häufig, heilen jedoch in den meisten Fällen ohne Operation lediglich unter Schienentherapie problemlos aus. Kommt es nicht zu einer Ausheilung oder liegt eine Begleitverletzung vor ( z.B. Riss der Kreuzbänder) die das Kniegelenk hochgradig instabil macht kann ggf. eine operative Versorgung der Seitenbänder notwendig werden.
Bei vorliegen einer akuten Verletzung könne die Bänder genäht werden. Zur Refixation am Knochen werden Fadenanker verwendet. In chronischen Fällen bei denen eine suffiziente Heilung ausgeblieben ist kann eine Bandplastik, also ein Ersatz des gerissenen Bandes mit einer körpereigenen Sehne erforderlich werden. Das Vorgehen hierbei ist ähnlich der Rekonstruktion der Kreuzbänder. Nach Freipräparation des chronisch instabilen Bandes werden Bohrkanäle in seinem Ansatz am Oberschenkelknochen und Unterschenkelknochen angelegt. Die zuvor gewonnene Sehne wird nun in die Bohrkanäle eingezogen und in der Regel mittels einer sich selbst auflösenden Schraube im Knochen fixiert. Nach der Operation muss in der Regel für 6 Wochen eine Schiene getragen werden die das Kniegelenk gegen seitliche Kräfte stabilisiert und ggf. auch die Beugung einschränkt.
Trochleaplastik
Die Kniescheibe läuft in einer mit Knorpel ausgekleideten Rinne auf der Vorderseite des Oberschenkelknochens. Diese Rinne wird als Gleitlager oder „Trochlea“ bezeichnet. Normaler Weise hat sie eine V-Form und sorgt somit dafür, dass die Kniescheibe sicher in Ihrer Bahn gehalten wird. Ist das Gleitlager zu flach oder sogar gewölbt wir die Kniescheibe nicht ausreichend gehalten und tendiert zur Luxation. In diesen seltenen Fällen muss das Gleitlager künstlicher vertieft werden. Hierfür wird der Knorpel in diesem Bereich operativ vom darunterliegenden Knorpel gelöst. Anschließend wird in den nun freiliegenden Knochen ein neues, ausreichend tiefes Gleitlager gefräßt. Anschließend wir der zuvor abgelöste Knorpel mittels Ankern und Fäden wieder fixiert um eine Anheilung zu ermöglichen. Kombiniert wird dieser Eingriff in der Regel mit einer MPFL Plastik wie bereits oben beschrieben und zum Teil auch mit einem Transfer der Tuberositas Tibia.
Ligament bracing
Bandnähte sind häufig direkt nach der Operation nur sehr begrenzt belastbar und daher im Rahmen der Rehabilitation stark gefährdet. Um dennoch eine frühzeitige Beübung des Gelenkes zu ermöglichen ohne ein Ausreißen der Nähte zu riskieren hat sich das sogenannte Ligament bracing entwickelt. Hierbei wird parallel zu dem zuvor rekonstruierten Band eine stabiler Faden bzw. ein künstliches Band gespannt das sofort hoch belastbar ist und das heilende Band in der Zeit der frühen Rehabilitation schützt. Mittelfristg verliert das Band seine Spannung so dass die körpereigenen Strukturen wieder ihre Aufgaben übernehmen. Keines falls zu verwechseln ist daher diese Technik mit dem Ersatz eines körpereigenen Bandes durch ein Kunstband. Diese in der Vergangenheit verwendete Technik ist aufgrund der schlechten Ergebnisse quasi vollständig wieder verlassen worden.
Versorgung von Mehrfachverletzungen der Bänder und komplexen Instabilitäten des Kniegelenkes
Im Rahmen schwerer Unfälle kann es zur gleichzeitigen Verletzung mehrerer Bänder des Kniegelenkes gleichzeitig kommen. Häufig sind diese schweren Verletzungen auch mit Knochenbrüchen, Knorpel und Meniskusschäden und sogar Zerreißungen von Nerven und Gefäßen kombiniert. Da in der akuten Unfallsituation der Erhalt der Extremität oder sogar lebensrettende Maßnahmen im Vordergrund stehen, wird die Schwere der Knieverletzung häufig unterschätzt und eine definitive Versorgung auf später vertagt. Dennoch sind es diese Verletzungen die den Patienten ein Leben lang begleiten und in seiner Lebensqualität einschränken.
Daher sollte nach Abschluss der Erstbehandlung eine genaue Untersuchung des Gelenkes durch einen Experten mit einer umfassenden Bestandsaufnahme aller vorliegenden Schäden erfolgen. Anschließend wird dann in enger Zusammenarbeit mit dem Patienten ein Konzept erarbeitet mit dem ein für ihn optimales Ergebnis erzielt werden kann. Dies beinhaltet Physiotherapie, Versorgung mit Orthesen und ggf. auch eine operative Versorgung. Hierbei dürfen die einzelnen Verletzungen nicht einfach isoliert betrachtet, sondern müssen in ihrer Gesamtheit erfasst werden. Ziel muss es sein mit möglichst wenigen und wenig belastenden Eingriffen die Funktion des Kniegelenkes wiederherzustellen.