Schulter-Engpass (Impingment)

Unter dem Begriff Impingement-Syndrom versteht man eine Zusammenfassung unterschiedlicher Ursachen, welche das Gleiten der Rotatorenmanschette unter dem Schulterdach behindern. Ursache der Gleitbehinderung können z.B. Formveränderungen des Schulterdaches (Knochensporn), ob angeboren oder erworben, sein. Auch Knochenausziehungen am Schultereckgelenk (Acromioclaviculargelenk) als Ausdruck einer Schultereckgelenks-Arthrose können zu einer Einengung des subacromialen Raumes und somit zur Gleitbehinderung der Rotatorenmanschette führen. Das ständige Reiben der Sehne gegen den Knochen kann zu einer Bursitis (Schleimbeutelentzündung) oder gar zu einer Schädigung (sog. Tendinopathie) der Rotatorenmanschette, bis hin zum vollständigen Reißen dieser Sehnen führen.

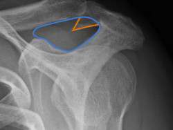
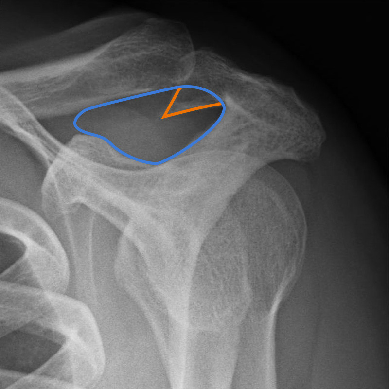
Die folgenden Röntgenbilder zeigen beispielhaft so einen Knochensporn, der die Sehne im Laufe der Jahre aufreibt:

Röntgenbilder der Schulter mit einem ausgeprägten Knochensporn: Rechts ist der Gleitraum der Rotatorenmanschette mit blau gekennzeichnet. Man kann erkennen, wie der orange eingezeichnete Sporn den Raum stark einengt.

Operations-Methode

Im Rahmen einer Schulter-Arthroskopie wird der Sporn abgetragen (dies nennt man Dekompression), und der Raum somit erweitert.

Die Arthroskopie wird in der sogenannten „Beachchair-Position“ mit dem Patienten in halbsitzender Lage durchgeführt. Während der Arthroskopie ist vom Patienten nur die steril abgedeckte Schulter zu sehen.

Das Bild zeigte eine Schulter die für eine Arthroskopie abgedeckt wurde. Der Patient ist dabei ein Vollnarkose und halbsitzend in der sogenannten „Beachchair“ Position unter den Tüchern nicht sichtbar. Die Kreuze zeigen die Stellen, an denen je nach Art des Eingriffes die kleinen Schnitte zur Durchführung der Arthroskopie angebracht werden können.

Während der Arthroskopie wird die ganze Schulter von innen untersucht und Knorpel, Sehnen, Schleimhaut, Bänder und eben auch der Knochensporn dargestellt. Der Knochensporn liegt nicht direkt in der Schulter, sondern über der Rotatorenmanschette. Um Ihn gut zu sehen muss meistens vorher der entzündete Schleimbeutel entfernt werden.

Das Bild links zeigt den nach unter ragenden Knochensporn, das Bild rechts zeigt die unter dem Knochensporn aufgeriebene Sehne und ein Operationsinstrument). Dieser Knochensporn wird dann zunächst von den Weichgeweben befreit und mit dann abgetragen, damit die Unterfläche des Schulterdaches dann glatt und eben ist.

Das linke Bild zeigt den „Shaver“ beim Antragen des Knochensporns. Auf dem rechten Bild ist der Knochensporn nun abgetragen, die Sehnenoberfläche geglättet. Der Raum unter dem Schulterdach ist wieder weit genug)

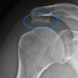
Auf dem Röntgenbild kann man nach der Operation dann die Erweiterung des Raumes auch sehen. Hier ein Beispiel mit einem sehr großen Sporn (linkes Bild) vor und nach der Dekompression (rechtes Bild).

Röntgenbilder der Schulter mit ausgeprägtem Knochensporn: Links vor der Operation und rechts nach der arthroskopischen Abtragung.

Nachbehandlung

Nach der Operation ist ein stationärer Aufenthalt von 1-2 Tagen erforderlich. Manchmal ist die Operation auch ambulant möglich. Die Beschwerden verschwinden nach der Operation nicht sofort komplett, milde Restbeschwerden können noch einige Wochen zu spüren sein. Die Schulter darf aber sofort nach der Arthroskopie im schmerzarmen Bereich frei bewegt werden. Die Schmerzgrenze muss aber respektiert werden. Eine Schonung des Armes für schwerere Arbeiten ist 4-6 Wochen erforderlich. Unterstützt werden kann die Nachbehandlung durch abschwellende Medikamente und lokale Eisanwendungen. Autofahren, Körperpflege und häusliche Tätigkeiten sind aber schon nach Entlassung möglich. Bis zur Wiederherstellung einer schmerzfreien Schulterfunktion ist mit einer Dauer von 2-6 Wochen zu rechnen.

Um ein gutes Operationsergebnis zu erreichen sollte die Nachbehandlung nach einem festgelegten Schema erfolgen, das Ihnen bei Entlassung für den nachbehandelnden Physiotherapeuten ausgehändigt wird.

Oft sind solch ausgeprägte Spornbildungen nicht das alleinige Problem der Schulter, sondern Defekte (Risse) der darunter liegenden Rotatorenmanschette und der Bizepssehne. Bei tiefergehenden Rissen ist dann meist auch eine Versorgung der Rotatorenmanschette und der langen Bizepssehne zu empfehlen. In der Regel wird bei jeder Rotatorenmanschettenrekonstruktion ein vorhandener Knochensporn auch mit abgetragen. Hier ist dann natürlich eine ganz andere Nachbehandlung notwendig.