Digitales Röntgen

Die Röntgendiagnostik ist auch heute noch eine der wichtigsten Methoden in der orthopädisch-unfallchirurgischen Praxis, um zahlreiche Krankheitsbilder zuverlässig zu beurteilen. Durch eine Röntgenaufnahme können nicht nur Knochenbrüche (Frakturen) (Abb.1) schnell und einfach dargestellt werden, sondern auch abnutzungsbedingte Gelenkveränderungen wie eine Arthrose (Abb. 2) unkompliziert diagnostiziert werden.

Verschobener Bruch des Schlüsselbeins
Abb. 1: Verschobener Bruch des Schlüsselbeins (Pfeil zeigt auf den Bruchspalt)
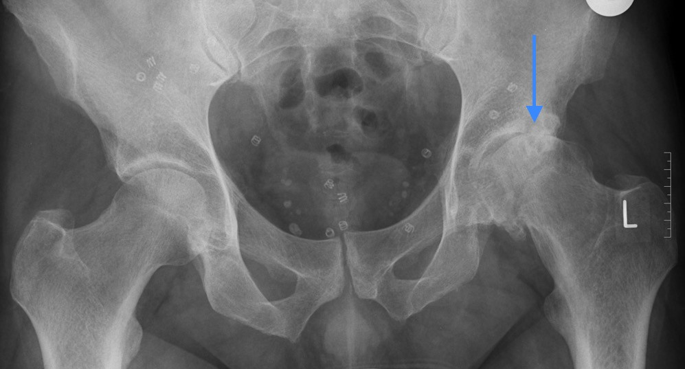
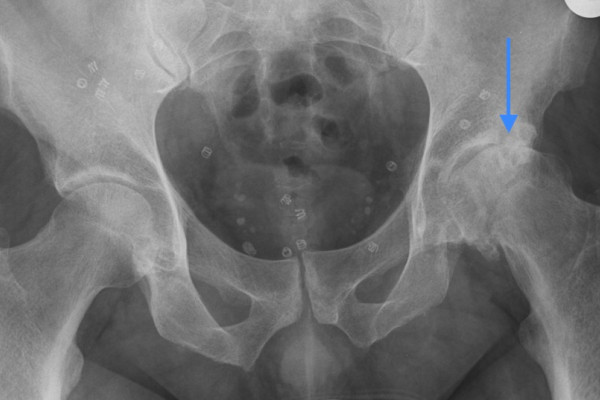
Schwere Arthrose der Linken Hüfte
Abb. 2: Schwere Arthrose der Linken Hüfte (Pfeil), während die rechte Hüfte noch normal ist.

Weiter lassen sich Fremdkörper, freie Gelenkkörper, Verkalkungen (Abb.3), Wirbelsäulen- und Beinachsenfehlstellungen, Verletzungen, entzündliche Prozesse, angeborene und erworbene degenerative Prozesse sowie Gelenkfehlformen durch diese Methode erkennen.

Bei Ortho-Mainfranken wird an allen zwei Standorten digitales Röntgen verwendet.

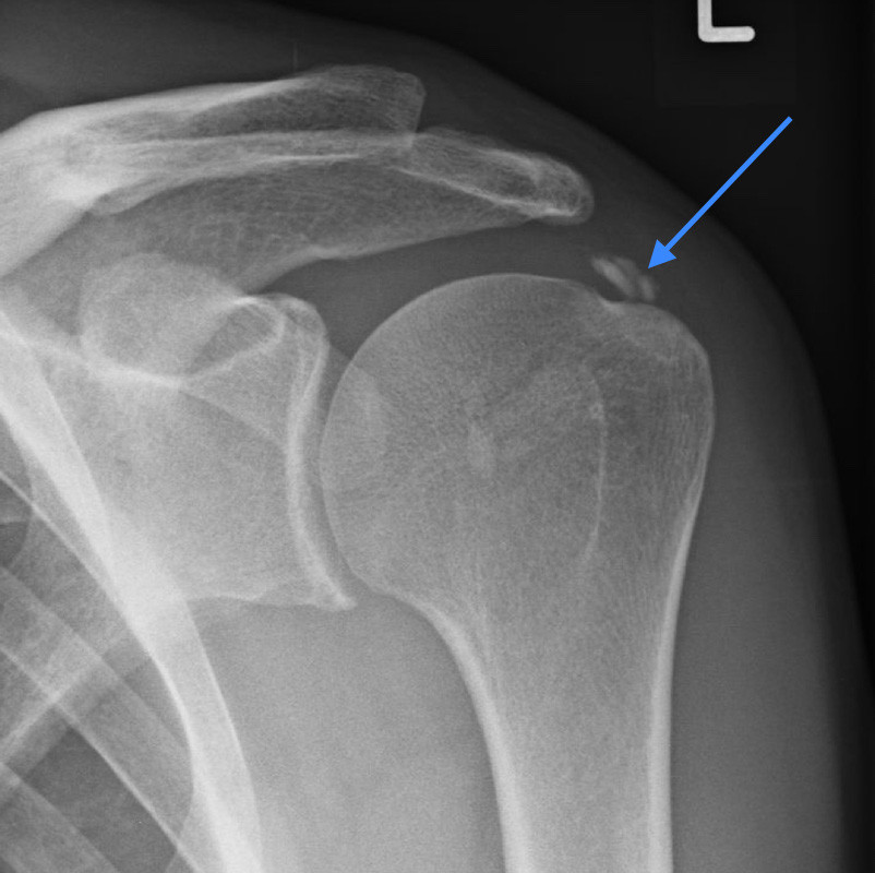
Kalkdepot an der Schulter
Abb. 3: Kalkdepot an der Schulter (Pfeil zeigt auf den Kalkherd)

Was heißt digitales Röntgen:

Digitales Röntgen ist ein bildgebendes Verfahren, bei dem nicht ein herkömmlicher Röntgenfilm belichtet wird, sondern eine spezielle Folie, die von einem Computer ausgelesen wird. So kann das Bild auf einen Monitor gelangen und hier technisch nachbearbeitet werden.

Dies geht einher mit einer Reduzierung der Strahlenbelastung, Wegfall der sonst bei der Entwicklung „alter“ Röntgenbilder anfallenden Chemikalien und einer deutlichen Zeitersparnis gegenüber dem herkömmlichen Röntgen. Nebeneffekt ist die leichte Reproduzierbarkeit der Bilder auf digitalen Medien und auch auf Papier.

Alle Ärzte bei uns, die Röntgenbilder veranlassen, haben die erforderlichen Weiterbildungen im Strahlenschutz erfolgreich absolviert.