Gelenkersatz an der Schulter
Verschiedenste Schultergelenkserkrankungen können den Einbau eines künstlichen Schultergelenkes erforderlich machen. Der Anlaß für einen solchen Eingriff sind neben den sichtbaren Veränderungen des Gelenkes im Röntgenbild in erster Linie die starken Ruhe- und Belastungsschmerzen verbunden mit einer Einschränkung der Beweglichkeit, der zu einer mehr oder weniger regelmäßigen Einnahme von Schmerzmedikamenten führt.
Ursachen sind in ersten Linie Arthrose (Omarthrose), rheumatoide Arthritis, Oberamkopfbrüche oder Durchblutungsstörungen des Oberarmkopfes. Heutzutage ist es mit sehr guten Ergebnissen möglich, die Gelenkflächen durch künstliche Gelenke (Endoprothesen oder TEP) zu ersetzen. Durch eine große Anzahl von Operationen (ca. 100 Schulterendoprothesen jährlich) besitzen PD. Dr. Dirk Böhm und Fr. Dr. Dorota Böhm eine besondere Expertise in diesem Bereich.
Behandlung
Schaftfreie Schulterendoprothese (Humeruskopfersatz)
Je nach Erkrankung und Lebensalter wird für jeden Patienten individuell eine Schultergelenksendoprothese ausgewählt. Das moderne Spektrum der Schulterendoprothesen reicht vom knochensparenden Oberflächenersatz bis hin zur komplexen Wechselendoprothese. Ziel ist es, das Schultergelenk möglichst anatomisch und knochensparend zu ersetzen. Durch die erheblichen Fortschritte der letzten 15 Jahre können sehr gute funktionelle Ergebnisse und eine lange Lebensdauer des Gelenkes erzielt werden.
Welcher Prothesentyp der Richtige für ist, wird in der Schulter-Sprechstunde unter Zusammenschau der Befunde aus klinischer Untersuchung, Sonographie, Röntgenbildern und ggf. Zusatzuntersuchungen (z.B. MRT, CT) festgelegt.
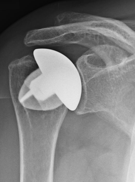
Wann immer möglich wird ein sog. Humeruskopfersatz verwendet. Diese schaftfreie Schulterendoprothese erlaubt einen sehr knochensparenden Ersatz des Schultergelenkes und ermöglicht auch einen Austausch der Gelenkpfanne, falls diese sich im Laufe der Jahre auch abnutzt. Vorraussetzung für den alleinigen Ersatz der Kopfes ist eine ausreichend gute Knorpelschicht auf der Pfanne. Sollte irgendwann einmal eine Wechseloperation notwendig sein, bleiben durch die knochensparende Implantation alle Möglichkeiten für einen Wechsel der Prothese erhalten. Das Fallbeispiel zeigt eine Nekrose (Abgestorbener Knochen) eines großen Teils des Oberarmkopfes. Das Bild mit eingebrachter Kopf-Prothese den Zustand 5 Jahre nach der Operation.
Anatomische Schultergelenkendoprothese
Die anatomische Schultergelenkendoprothese ersetzt den Oberarmkopf (Humeruskopf) und die Schultergelenkspfanne (Glenoid). Sie kommt vor allem dann zum Einsatz, wenn die Sehnen der Schulter (Rotatorenmanschette) noch intakt, aber beide Gelenkpartner verschlissen sind. Die Rotatorenmanschette ist der "Motor" für den Oberarm, so dass postoperativ eine gute Schulterfunktion bei langer Lebensdauer der Prothese zu erwarten ist.
Das Fallbeispiel zeigt ein Röntgenbild mit Arthrose von Kopf und Pfanne mit aufgebrauchtem Gelenkspalt und ein postoperatives Röntgenbild nach 3 Jahren mit eingebrachter TEP (Kopf und Pfanne wurden ersetzt). Da die Gelenkpfanne aus Polyethylen ist, kann man sie auf dem Röntgenbild nicht so genau sehen wie die Kopfprothese.
Wenn diese Rotatorenmanschette verbraucht oder gerissen ist und zusätzlich eine Arthrose besteht, ist eine sogenannte inverse (umgekehrte) Schultergelenksendoprothese die Prothese der Wahl. Diese bietet gerade in derartigen Situationen vielversprechende Aussicht auf Schmerzfreiheit und eine gute Schulterfunktion.
Umgekehrte Prothese bedeutet, daß bei dieser Prothese der Kopf (Glenosphäre) auf der anatomischen Schulterpfanne verankert und die Pfanne im Bereich des ehemaligen Kopfes platziert wird - also gerade umgekehrt (=invers).
Dadurch wird der Drehpunkt des Schultergelenkes verlagert und ein anderer Hebelarm erreicht, dass der kräftige Schulterkappenmuskel (M. deltoideus) die Funktion der häufig nicht mehr vorhandenen Rotatorenmanschette übernehmen und ersetzten kann. Die inverse Schulterendoprothese bietet daher häufig in "verzweifelten Situationen" eine ausgezeichnete Behandlungsmöglichkeit. Im Fallbeispiel zeigt das Röntgenbild vor der Prothesenversorgung einen Zustand nach mehrfachen Operationen mit nach oben gerutschtem Oberarmkopf, Arthrose und Metallankern in der Pfanne. Die eingebaute inverse Prothese hat den Arm wieder nach unten gebracht, sodaß die Patientin den Arm nun wieder schmerzfrei nach oben heben kann ohne am Schulterdach zu reiben.
Inverse (umgekehrte) Schultergelenksendoprothese
Diese Operationen werden in Vollnarkose durchgeführt. Dem Patienten wird ein Schmerzkatheter angeboten, der eine individuelle Steuerung der Schmerzmittel und eine schmerzfreie Bewegung nach der Operation ermöglicht. Hierbei ist eine intensive und fundierte Betreuung durch die Anästhesieabteilung der Theresienklinik gewährleistet.
Nach der Operation wird der Arm in einer Schulterschlinge gelagert, was eine Benutzung der Hand, z.B. zum Halten von Gegenständen, erlaubt. In der postoperativen Nachbehandlung wird die Schulter in der Regel für 6 Wochen nur passiv mit Physiotherapie und Motorschiene bewegt. Anschließend folgt eine zunehmende aktive Bewegung der Schulter. Ein genau ausgearbeiteter Nachbehandlungsplan für die stationäre und häusliche Krankengymnastik wird in Zusammenarbeit mit unserer physiotherapeutischen Abteilung erstellt. Zu diesem Zeitpunkt - also 6 Wochen nach OP – ist eine Rehamaßnahme am effektivsten. Die Planung ihrer postoperativen Versorgung erfolgt direkt durch unser Schulter-Team.
Wechseloperationen
Im Falle von Wechseloperationen liegt in der Regel ein Implantatversagen mit oft erheblichem Knochenverlust vor. Bei Wechseloperationen kommt grundsätzlich ein ein- oder zweizeitiges Vorgehen in Frage. Ist es aufgrund einer bakteriellen Entzündung zu einer Lockerung der Endoprothese gekommen (z.B. low grade Infekt), ist in aller Regel ein zweizeitiger Wechsel notwendig. In einer ersten Operation wird die gelockerte Prothese entfernt, das Gewebe sorgfältig gesäubert und eine Platzhalterprothese aus Knochenzement und Antibiotikum eingesetzt. In einer zweiten (>zweizeitig) Operation wird nach ca. 6-8 Wochen der Platzhalter entfernt und eine neue Prothese eingesetzt, die manchmal individuell angefertigt werden muß.
Liegt eine Lockerung der Prothese ohne Infektion vor, kann eine Wechseloperation in einer Sitzung (einzeitig) erfolgen, hier wird dann die alte Prothese entfernt und eine neue Prothese eingebaut.
Hat Ihnen Ihr behandelnde Arzt eine Versorgung mit einem künstlichen Schultergelenk empfohlen können Sie hier den Kontakt zu unserem Schulter-Team aufnehmen und weitere Informationen bekommen, bzw. einen Beratungstermin vereinbaren.
Prognose und Ergebnisse
Der künstliche Gelenkersatz zeigt in Langzeitstudien über 10 Jahre mittlerweile gute bis sehr gute Ergebnisse, die denen der Hüft- und Knieendoprothetik entsprechen. Schwere körperliche Arbeiten sollten dennoch vermieden werden um eine frühzeitige Abnutzung des Kunstgelenkes zu vermeiden.
Welches Belastungsniveau wieder erreicht werden kann, hängt von der eingesetzten Prothese ab. Dies wird eingehend bei der ambulanten Besprechung erläutert. Allgemeine Arbeiten im Haushalt, fast alle Freizeitaktivitäten und gemäßigte Sportarten wir Nordic Walking oder Golf sind aber immer erlaubt.
Unsere Spezialisten für den Bereich Schulter
