Hüfte
Das Hüftgelenk ist ein Kugelgelenk, das im Alltag hohen Belastungen ausgesetzt ist
Durch angeborene Fehlstellungen oder erworbene Formveränderungen, Durchblutungsstörungen im Kindes- und Wachstumsalter sowie eine vermehrte Alltagsbelastung oder auch Leistungssport kann es auch bei jüngeren Patienten zu frühzeitigem Verschleiß (Arthrose) des Hüftgelenkes kommen.
Arthrose und künstlicher Gelenkersatz
In den meisten Fällen eines Hüftgelenkverschleißes hat sich die Arthrose langsam über Jahre entwickelt. In seltenen Fällen entsteht eine Arthrose auch schnell. Häufige Ursachen sind angeborene Fehlstellungen wie die Hüftdysplasie, erworbene Fehlstellungen nach Störungen im Wachstumsalter (Epiphysiolyse) sowie Durchblutungsstörung im Kindesalter (Morbus Perthes) oder Erwachsenenalter (Hüftkopfnekrose).
Wir wenden ausschließlich ein minimalinvasives operatives Vorgehen an bei dem sorgfältig darauf geachtet wird, die hüftumgreifende Muskulatur nicht zu schädigen. Die Hüftendoprothese wird über eine schon vorhandene Muskellücke unter Verwendung von speziellen Instrumenten eingebracht.
Durch die Schonung der Muskulatur kann die krankengymnastische Mobilisierung zeitnah nach der Operation begonnen werden. Hierdurch verkürzt sich die Rehabilitationsphase und das Thromboserisiko wird dadurch gesenkt.
Um vor einer Operation Ihre Knochenqualität besser beurteilen zu können, empfehlen wir die Durchführung einer Knochendichtemessung.
Der für Sie passende Implantat-Typ wird in der Spezialsprechstunde von Dr. med. Michael Matzer individuell besprochen.
Nachdem ein OP-Termin mit Ihnen vereinbart wurde, wird anhand von speziell in unserer Praxis angefertigten Röntgenbildern mit Maßstab individuell das Implantat mit Hilfe eines speziellen Prothesenplanungsprogrammes geplant.
Hierzu stehen verschiedene Materialien zur Verfügung, die im Falle einer Allergie Anwendung finden oder auch zur Verbesserung der Haltbarkeit dienen. Nähere Informationen hierzu erfahren Sie in der Spezialsprechstunde von Dr. med. Michael Matzer.
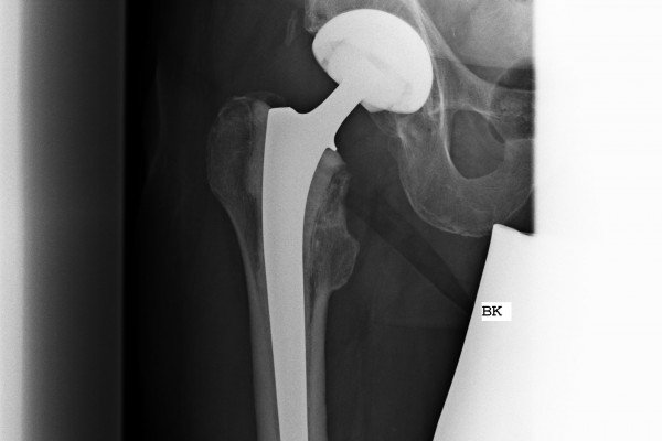
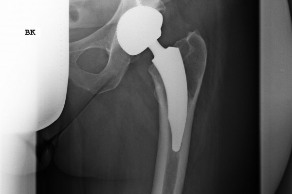
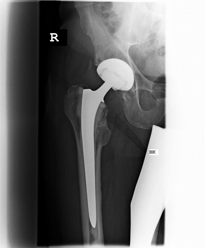
Aufbau eines künstlichen Hüftgelenkes
Das künstliche Hüftgelenk besteht aus vier Komponenten. Im Becken erfolgt die Implantation einer Pfannenkomponente, meist zementfrei, als Pressfit- oder Schraubimplantat. In dieser Titanpfanne wird ein sogenanntes Inlay aus hochverdichtetem Kunststoff verklemmt.

Im Bereich des Oberschenkels wird eine Schaftkomponente zementfrei (aus Titan) oder zementiert (aus einer Kobalt/Chrom Legierung) implantiert. Am oberen Ende befindet sich ein sogenannter Steckkonus auf den der künstliche Hüftkopf (Metall/Keramik/Oxinium) aufgebracht wird. Eine Komponente wird dann zementiert, wenn eine erheblich geminderte Knochendichte oder Osteoporose vorliegt.
Kurzschaftprothese
Ziel einer Endoprothese ist es bei der Implantation möglichst viel Knochen zu erhalten. Somit wurden in den letzten Jahrzehnten Prothesenmodelle entwickelt, die aufgrund Ihres Designs eine optimale Krafteinleitung in den Knochen bei maximalen Knochenerhalt gewährleisten. Bei diesen sogenannten Kurzschaftprothesen wird außerdem die Biomechanik des Gelenkes kaum verändert. Dies hat zur Folge dass Sie das Implantat kaum noch bis gar nicht „spüren“.
Anatomische Geradschaftprothese
Um bei etwas schlechteren Knochenverhältnissen eine gute Verankerung zu gewährleisten, kombiniert man in diesem Implantat die Vorzüge der klassischen Geradschaftprothese und der anatomischen Kurzschaftprothese. Das heißt, es wird knochensparend implantiert und aufgrund des längeren Schaftes eine gute Verankerung erreicht. Sollte eine Osteoporose vorliegen, kann dieses Prothesendesign auch zementiert eingebracht werden.
Individualschaft
Sollten besondere anatomische Veränderungen oder Defektsituationen (Hüftdysplasie) vorliegen, ist es manchmal notwendig eine individuelle Planung einer Hüftgelenksprothese durchzuführen. Hierzu wird im Vorfeld eine dreidimensionale Computertomographie des Hüftgelenkes zur exakten Darstellung der knöchernen Verhältnisse angefertigt. Im Rahmen der Planung erfolgt eine präzise Anpassung des Implantates an die individuellen knöchernen Gegebenheiten unter Berücksichtigung von Beinlänge und Drehzentrum. Aufgrund des hohen planerischen Aufwandes ist jedoch bis zur Operation eine längere Vorlaufzeit notwendig.
Erneute Operation bei vorhandenem Hüftimplantat
In seltenen Fällen bestehen trotz vorhandenem Hüftimplantat teilweise noch Beschwerden, dies kann verschiedene Ursachen haben:
- Vernarbungen und Verklebungen
- Instabilitätsproblem
- Lockerung oder Verschleiß des Implantates
- Einklemmung der Hüftbeugesehne (Psoasimpingement)
- Entzündung
Bevor eine erneute Operation stattfindet, müssen im Vorfeld einige Untersuchungen, wie z.B. Funktionsuntersuchung, Punktion, Röntgen, ggf. Computertomographie, ggf. Skelettszintigraphie durchgeführt werden. Nach Auswertung aller Untersuchungsergebnisse wird mit Ihnen in der Spezialsprechstunde bei Dr. med. Michael Matzer das weitere Vorgehen besprochen und festgelegt.
Wechsel des Inlays und Kopfes
Die Gleitpartner eines künstlichen Gelenkes (Kopf und Inlay) unterliegen über Jahre einem gewissen Verschleiß. Hierbei ist v.a. das Inlay betroffen, wobei durch einen Aufbrauch des Inlays die Führung des Gelenkes nachlässt und ein Partikelabrieb entsteht, der auch zu einer Lockerung der übrigen Komponenten führen kann. Somit ist es dringend zu empfehlen bei einem Abrieb des Inlays dieses zu wechseln, um größere Wechseloperationen zu vermeiden.
Bei einem vorhandenen Instabilitätsproblem kann es erforderlich sein, dass Inlay gegen eine Variante auszutauschen, die dem Gelenk mehr Stabilität verleiht.
Psoasimpingement
Die Sehne des stärksten Hüftbeugemuskels verläuft direkt vor dem Hüftgelenk. Im Bereich des oberen Pfannenrandes kann es in seltenen Fällen zu einer Entzündung dieser Sehnen im Sinne einer Sehnenscheidenentzündung kommen. Die hierdurch entstehende Verdickung der Sehne führt zu einem einklemmenden Schmerzsyndrom (Psoasimpingement). Sollte durch konservative Maßnahmen wie Krankengymnastik, Ultraschallbehandlung, Cortisionbehandlung keine Besserung erreicht werden, ist eine Operation notwendig.
Wechsel oder Teilwechsel einer Hüft-TEP
Im Bereich eines künstlichen Hüftgelenkes kann es im Laufe der Jahre zu einer Lockerung der Pfannen-bzw. Schaftkomponente oder beider Teile kommen. Somit kann es erforderlich sein, entweder nur eine oder beide der Komponenten auszutauschen. Bei gesicherter Diagnose ist immer eine Wechseloperation zu empfehlen.
Wechsel einer Hüftgelenkpfanne
Im Falle einer Pfannenlockerung mit wenig Knochendefekt ist es möglich das vorhandene Implantat in ein größeres Implantat zu wechseln. Bei größeren Knochendefekten wird der Austausch mit Hilfe eines modular aufgebauten Pfannenrevisionssystems durchgeführt.
Bei sehr großen Knochendefekten im Beckenbereich kann ein individueller Beckenteilersatz geplant werden. Hierzu wird im Vorfeld eine dreidimensionale Computertomographie des Hüftgelenkes zur exakten Darstellung der knöchernen Verhältnisse angefertigt. Im Rahmen der Planung erfolgt eine präzise Anpassung des Implantates an die individuellen knöchernen Gegebenheiten unter Berücksichtigung von Beinlänge und Drehzentrum.
Aufgrund des hohen planerischen Aufwandes ist jedoch bis zur Operation eine längere Vorlaufzeit notwendig.
Wechsel eines Hüftgelenkschaftes
Im Falle einer Schaftlockerung mit wenig Knochendefekt ist es möglich das vorhandene Implantat in ein größeres Implantat zu wechseln.
Bei größeren Knochendefekten wird der Austausch mit Hilfe eines modular aufgebauten Schaftrevisionssystems durchgeführt.
Hierbei können auch längerstreckige Defekte des Knochens und Knochenbrüche in stabile Situationen geführt werden.