Ersatz des Schulter-, Knie- und Hüftgelenks (TEP)
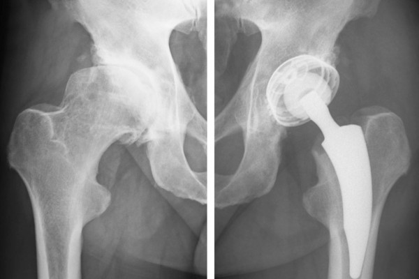
Die 3 großen Gelenke des Körpers, die Schulter, das Knie und die Hüfte sind leider häufig durch Abnutzung oder nach Unfällen verschlissen. Wenn die konservativen Behandlungsmethoden nicht die gewünschte Linderung bringen, ist manchmal ein Gelenkersatz indiziert.
Dr. M. Matzer verwendet moderne, minimal invasive Techniken zur Implantation von Hüft und Knieprothesen.
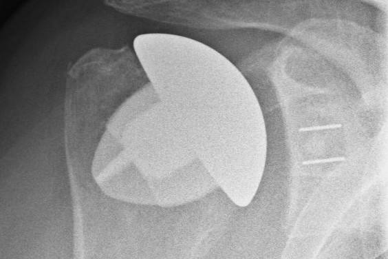
In unserer Praxis werden von PD. Dr. D. Böhm, Frau Dr. D. Böhm alle modernen Formen der Schulterendoprothetik eingesetzt um für Sie das beste klinische Ergebnis zu erzielen. Ortho-Mainfrankens Schulter-Team wurde als erste Praxis in Deutschland mit dem Endoprothesensiegel Gold der DVSE ausgezeichnet.
