Korrektur der Beinachse bei O- oder X-Beinstellung

Fehlstellungen der Beinachse im Sinne einer X – oder O-Beinstellung führen zu Fehlbelastungen des Kniegelenkes und daraus resultierend zu einem einseitigen frühzeitigen Kniegelenksverschleiß. Schmerzen auf der Innen- oder Außenseite des Kniegelenkes können das erste Zeichen einer beginnenden Überlastung eines Anteiles des Kniegelenkes. In solchen Fällen kann eine Begradigung der Beinachse zu einer Wiederherstellung der korrekten Lastverteilung im Kniegelenk führen und die Beschwerden nehmen.

Hierzu wird, je nach dem Ort der Fehlstellung, der Ober- oder Unterschenkelknochen operativ durchtrennt und in die Korrekte Position gebracht dies bezeichnet man als „Osteotomie“. Der so korrigierte Knochen wird mittels einer implantierten Platte in Position gehalten bis er geheilt ist. Nach circa einem Jahr kann das Implantat sofern erwünscht entfernt werde.

Durch moderne Implantate ist bereits wenig Wochen nach dem Eingriff eine Vollbelastung des operierten Beines möglich. Das Kniegelenk kann unmittelbar nach dem Eingriff frei bewegt werden. Das Tragen einer Schiene ist nicht erforderlich.

Ausmessen der Beinachse
Ausmessen der Beinachse zur Planung einer operativen Korrektur bei X-Beinstellung durch einen fehlverheilten Bruch des Schienbeinkopfes
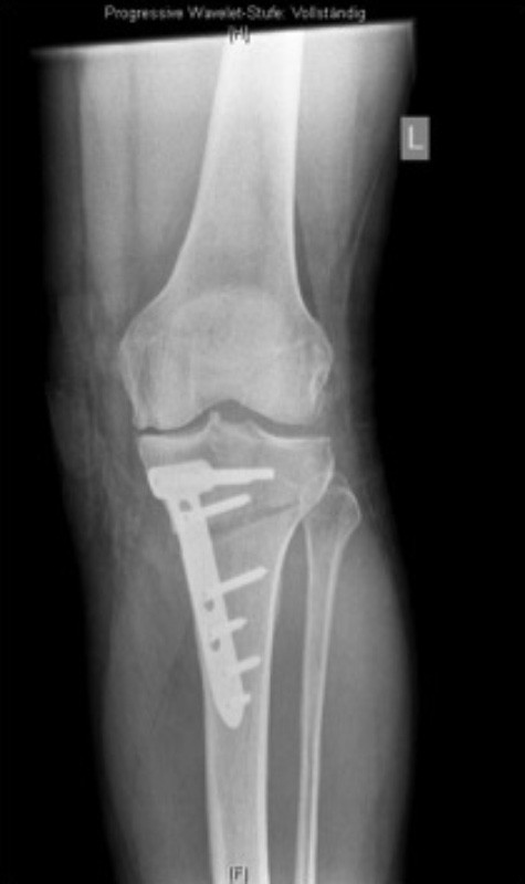
Kniegelenk nach operativer Korrektur einer O-Beinstellung
Kniegelenk nach operativer Korrektur einer O-Beinstellung mit noch einliegender Platte